Studio Dentistico Anna Ascoli
Urgenze ad Ancona
Mal di denti, dente rotto o trauma? Aperto 6 giorni su 7. Fuori orario? Scrivici su WhatsApp — ti ricontattiamo entro 30 minuti.
3 azioni rapide per risolvere il tuo problema
Risposta rapida durante gli orari di studio
Fuori orario: WhatsApp attivo
Via Bartolo da Sassoferrato 2H
60128 Ancona
Aperto 6 giorni su 7
Visualizza su Maps⏱️ Situazione grave? Chiama direttamente il 333 881 2177 — Ti aiuteremo in tempi ancora più rapidi per traumi, dolori intensi o emorragie.
| Giorno | Orario |
|---|---|
| Lunedì – Venerdì | 8:30 – 19:30 |
| Sabato | 9:00 – 13:00 |
| Domenica e festivi | Su chiamata WhatsApp |
Fuori orario? Scrivi su WhatsApp al 333 881 2177 con una breve descrizione del problema. Ti ricontattiamo entro 30 minuti.
Se il dolore è intenso o c'è un trauma, non aspettare: contattaci subito.
Mal di denti
Dolore acuto o persistente
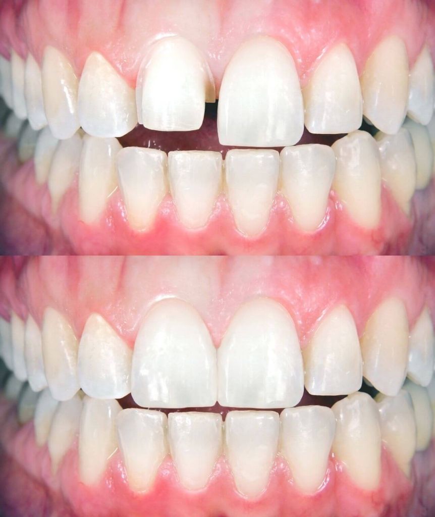
Trauma dentale
Dente rotto o scheggiato
Protesi rotta
Dentiera o ponte danneggiati
Problemi apparecchio
Filo o bracket staccati
Mantieni la calma e chiama subito 333 881 2177 o scrivici su WhatsApp.
Per un dente rotto: tampona la zona con garza/cotone imbevuto d'acqua fredda per ridurre il sanguinamento.
Se il dente è uscito dalla sua sede: sciacqualo con cura senza togliere i residui di tessuto. Raggiungi lo studio entro 1 ora.
Salva il contatto dello studio per future emergenze anche nel weekend.
Controlli ogni 6 mesi e igiene professionale riducono drasticamente il rischio di urgenze. Evita di mordere cibi troppo duri e ascolta i campanelli d'allarme.
Dott.ssa Anna Ascoli
Specialista in urgenze dentali
Professionalità, competenza e risultati che parlano da soli.
Le immagini sono a scopo informativo. I risultati possono variare da paziente a paziente.
Testimonianze reali da Google Reviews
"Sabato pomeriggio mi si è rotto un dente mentre mangiavo. Ho scritto su WhatsApp alle 15:30 e in 20 minuti mi hanno richiamato. Lunedì mattina ero già in studio. Professionali e velocissimi."
Marco T.
Ancona • Google verificato
"Dolore insopportabile di domenica, nessun altro dentista rispondeva. Ho chiamato lo studio Ascoli, mi hanno risposto subito e mi hanno dato indicazioni per tamponare il dolore in attesa della visita del lunedì. Salvata!"
Giulia R.
Ancona • Google verificato
Siamo disponibili anche nel weekend per le emergenze dentali
⏱️ Aperto 6 giorni su 7 • Ricontatto entro 30 minuti • Costo visita urgenza 50€
Sabato siamo aperti dalle 9:00 alle 13:00. Domenica e festivi siamo disponibili via WhatsApp — contattaci al 333 881 2177 e ti ricontattiamo entro 30 minuti per valutare il tuo caso.
Il costo base per una visita di urgenza o prescrizione medica è di 50€. Tuttavia, questo importo può variare a seconda della complessità del caso e dei trattamenti necessari. Ti forniremo sempre un preventivo chiaro prima di procedere.
Il nostro obiettivo è ricontattarti nel più breve tempo possibile, solitamente entro 30 minuti nelle ore di apertura. Per urgenze gravi (trauma, sanguinamento intenso), la risposta è ancora più rapida.
No, per le urgenze non serve alcuna impegnativa. Basta chiamarci direttamente al 333 881 2177 o scrivere su WhatsApp con una breve descrizione del problema.
Accettiamo contanti, carte di credito/debito, bonifici e anche pagamenti dilazionati per trattamenti più complessi. Discuteremo le opzioni durante la visita.
Il nostro studio si trova ad Ancona. Indirizzo completo: Via Bartolo da Sassoferrato 2H, 60128 Ancona. Visualizza su Google Maps
La Dott.ssa Anna Ascoli, specialista con esperienza pluriennale in urgenze dentali, si prenderà personalmente cura del tuo caso per garantire il miglior trattamento possibile.
Porta con te un documento d'identità e, se disponibili, eventuali radiografie o referti precedenti. Per il resto, pensiamo a tutto noi. In caso di urgenza, puoi arrivare senza preavviso.
Non trovi la risposta che cerchi? Contattaci direttamente - saremo felici di chiarire ogni tuo dubbio sulle urgenze dentali.
Ti richiamiamo noi entro 30 minuti
Grazie! Ti richiamiamo al più presto.
Controlla il tuo telefono — ti contatteremo entro 30 minuti.